忍者ブログ
Admin§Write

オカメ劇団 コルマナ一座

母ポリア、只今ワイルドに抱卵中

HOME ≫ Entry no.9 「衝撃!ポリアの○ード!?」 ≫ [14] [13] [12] [11] [10] [9] [8] [7] [6] [5] [4]

[PR]

×

[PR]上記の広告は3ヶ月以上新規記事投稿のないブログに表示されています。新しい記事を書く事で広告が消えます。


衝撃!ポリアの○ード!?

07-11-17poria1.jpg

珍しく、大人しいポリア
滅多に見せない、お澄まし顔をしています。

どうしちゃったの~?


実は…今日、ポリアに衝撃の出来事が起こったんです

それは一体…


▽つづきはこちら

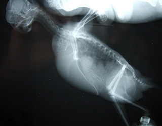
先ずは、衝撃写真 から…


07-11-17poria2.jpg

ポリアの正真正銘ヌードです( ̄□ ̄;)

お尻の所に、不審な物が…
こ、これは~卵?

実は、一昨日からオシッコばかりするようになり
ネバ~としたフンもするようになってて…
怪しいなぁ~って思ってたんです(ーー;

どうもかなり大きな卵で、自分で産めそうにないので
産道を広げて押し出すことになりました

先生とパパとママの三人掛りで保定して、
押すこと15分…
やっと産まれました~\(^ ^)/ 

でも…ポリアは流石にグッタリ



お家に帰ってきてからも…

07-11-17poria3.jpg

じぃ~っとして動きません。

パパは心配でカゴの前にへばり付き



でも、暫くすると体力が回復したらしく
ご飯を食べて、お水も飲んで
自分でカゴから出て来ました。

っで、大喜びのパパは~

07-11-17poria4.jpg

ポリアの気の済むまでナデナデ~

ポリア~心配したんだよ~



ポリアもパパの気持ちがわかるのか、パパにへばり付き~

07-11-17poria5.jpg

パパ~辛かったの~痛かったの~

久しぶりに、パパとポリアの二人だけの世界が出来ていました

このあと、少し大人しかったけど
いつも通り飛んで、遊んで、
コル達の家を荒らし回ってました。

その姿を見て、喜んでいいのか大人しくさせた方が良いのか
真剣に悩むパパの姿がありました。(;^_^ A


そのパパ、ポリアがグッタリしている間
自分もしんどくなったらしく、カゴの前でダウン

コルが心配して様子を見に来てくれました(^-^ ) 

07-11-17koru.jpg

パパ…だ、大丈夫?

コル~優しいね



フィロは、パパがポリアをナデナデしている間
思いがけないことを…

07-11-17firo.jpg

ボクにも構ってでチュ~っ


何を思ったのか、怒りながらパパの髪で
「なんちゃって水浴び」を始めてしまいましたσ(^◇^;)

フィロは、パパが誰かをナデナデしてると自分も構って欲しくなるのね
普段は寄りつかないのに~(^_^;)



さて、初出産したポリアの卵は…

07-11-17tamago.jpg

殻が柔らかくて、帰ってくるまでにペコペコになってしまいました。
初産だからなのかなぁ~( ̄-  ̄ ) 
今度は、完璧な卵を

って、もう産まなくて良いよ…
というか、もう産まないで~(;>_<;) 

ママもあんな大人しいポリアはもう見たくないよぉ~

PR

●Thanks Comments

Re:衝撃!ポリアの○ード!?

こんにちは!
大変でしたね、ポリアちゃん!
お腹にタマゴがあってなんだかおかしいときの様子、なんとなくわかります。
でも、よく気が付きましたね!タマゴだとは思わなかったかな、最初は?
3人がかりでご出産・・・ポリアちゃん、苦しかったんでしょうね(T_T)。
やはり、タマゴが柔らかかったりすると、出てきにくいのでしょうか。でも
途中で壊れたりしなくて本当に良かったわ~。頑張って、カルシウムとビタミンとって、次回があるならスムーズな出産をお願いしたいですね!
とりあえず、無事でよかったです^^

From 【ひーママ】URL2007.11.18 07:17編集

Re:衝撃!ポリアの○ード!?

おはようございます。
かなりビックリしました!
ポリアちゃん、頑張りましたね(>_<)
大きくて自力では産めないなんて、すごくしんどそう。。。
でも何事もなくて、本当に良かったです(TДT)
ふみさんもパパさんも、ご心配だったでしょうね。
ダウンしちゃうパパさんの気持ち、すごく分かりますよ(=v=;)

From 【ふさ子】URL2007.11.18 08:21編集

Re:衝撃!ポリアの○ード!?

こんばんわ~!

ポリアちゃんが初産卵したんですね~!お腹に卵があると、眠そうなようなしんどそうな、いつもなら見せない表情をしますけれど、ポリアちゃんも私が今まで見てきた中で、見たことの無かったお顔になっていました。

卵を無事取り出せて、ポリアちゃんも体の調子が戻ってきたようで良かった。
パパさんも自分のこと以上に心配だったでしょうね。
ポリアちゃん、パパさん、ふみママさんお疲れさまでした!
パパさん、心配しすぎてダウンしちゃったんですね・・。
私もミントが体調が良くなって来た頃に安心で気が抜けちゃうっていうのかな~。ダウンしたことがあるので、パパさんの気持ちが分かります。

ポリアちゃん、カルシュームとビタミンをいつもより多く摂らせるようにしてあげてください。^^

From 【AQUA】URL2007.11.18 20:05編集

Re:衝撃!ポリアの○ード!?

こんばんはー。
ポリアちゃん、大変でしたねー!
でも、ちゃんと気づいてあげられたふみママさんとパパさんはすごいですね!
我が家はまだ産んだことがないので、要注意です。

やわらかい卵さんは危険ですから、カルシウムとビタミンは強化した方がいいかもですね。
一個で終わるかわかりませんし…。

ポリアちゃん、本当にがんばったね!!

From 【羅愧椏】URL2007.11.19 05:13編集

Re:衝撃!ポリアの○ード!?

こんにちは!

うわ~、かなりの衝撃です・・・
まさかポリアちゃんが卵を産むとは^^;
でもおかしいと思ったらすぐ病院ですね!
無事に産卵できて本当によかった~
ポリアちゃん、よく頑張ったよ、ママさんもパパさんもお疲れさま!

From 【チビトジ】URL2007.11.19 15:52編集

Re:衝撃!ポリアの○ード!?

(@o@;)ひゃぁぁ~
ポリアちゃん、大変だったねー頑張ったねー
ふみさん、パパさん心配だったでしょう?
ポリアちゃんの様子がおかしいと気づいてから落ち着くまでの
お二人の辛さが伝わってきます。
でも、本当に無事に取り出せてよかったですね。
結構やわらかいタマゴだったんですね。
これひとつで終わってくれる事を願っています。
我が家にもお年頃を迎える娘がいますから、他人事ではないです。
でも、ふみさんのように的確に判断できるか、
病院で、ちゃんと処置してくれるのか・・・あ~心配です。

From 【ひよ】URL2007.11.20 10:08編集

●この記事にコメントする

お名前
タイトル
文字色
E-mail
URL
コメント
絵文字 Vodafone絵文字 i-mode絵文字 Ezweb絵文字
パスワード ※投稿者編集用
秘密? ※チェックすると管理人にしか見えません

CAST Profile ▽

コル(シナモンパールパイド:♂)
'05年9月初旬生まれ。
同年10月2日お迎え。
07koru_Profile.jpg
ちょっとワガママで甘え坊さん、しかも超ビビリ。でも一座全員が認める座長。一座で一番大人しく、コヨリをカミカミしながら瞑想する。



フィロ(ヘビーパイド:♂)
'06年3月初旬生まれ
同年4月2日お迎え
07firo_Profile.jpg
超ワガママの超甘えん坊。体を張って話題を奪う一座のアイドル。性別・年齢問わずに愛を振りまく『愛の伝道師』。



ポリア(WFファロー:♀)
'06年4月8日生まれ
同年6月17日お迎え
07poria_Profile.jpg
雛のときの酷い食滞の面影も今はなく、その美しい容姿でママよりもパパを上手く扱う。一部では影の座長との噂も…。


 
エレネ(WFシナモンパールパイド:♀)
'07年9月18日生まれ
同年10月19日お迎え
07erene_Profile.jpg
甘い鳴き声で注目を浴びるニューフェース。思慮深い面と唐突に行動する激しい面を持つ。気になる存在はポリア、気に入らない存在はフィロ。

Calendar ▽

09 2025/10 11
S M T W T F S
1 2 3 4
5 6 7 8 9 10 11
12 13 14 15 16 17 18
19 20 21 22 23 24 25
26 27 28 29 30 31

最新コメント ▽

STAFF Profile

ふみ(管理人)
超鳥嫌いだったのがティキのお陰で今では鳥命、オカメラブに改心。フィロに怒られるとマジ泣きする。



ティキ(ルチノー:♂)
'05年6月6日お迎え。
Tiki_Profile.jpg
超鳥嫌いだったふみを鳥好きに変えた、一座の土台を築きあげた偉大な鳥。'05年9月25日、不注意により放浪の旅へ…。



マナ(ヘビーパールパイド:♀?)
'05年10月2日お迎え
mana_Profile.jpg
コルより1週間遅生まれ。病続きで34gまで落ちた体重から85gまで回復するなど幾度の危機を乗り越えたが'06年1月8日お星様に。
色々学ばしてくれた今でも頭が上がらない存在。

カウンター


≪ 大人の階段のぼる~♪ |PageTop| ビビリじゃないもんっ! ≫

※ 忍者ブログ ※ [PR]
 ※
Customize&Writer 【KORUMANA-ICHIZA】  Design by NUI.T  Powered by NinjaBlog